
Many people aren't seeking a major cosmetic overhaul of their smile, which is already in great shape and just in need of periodic maintenance. Do you fit this description? Great. Let us know. We won't make you feel like you are being "upsold" during your visits. (Of course, if you ever want to learn more about elective procedures like veneers or whitening, we are happy to share our expertise with you!)
If you are new to our office, you can expect that we will spend extra time on your first visit getting to know you as a person, and as our patient. We use digital intraoral xrays for ease and safety, and maintain detailed records (far more than the State of Minnesota requires of us) so we can track changes to your smile over time. Our hygienists and doctors understand that every individual person is unique, so we don't rush the process of getting to know you.
When we diagnose dental problems, we offer possible solutions, and tell you the pros and cons of each possible solution. It is our job to let you know know what is possible. Then you can decide what to do. We want you to feel like you are in charge when we are caring for your smile, because after all, it's your smile!
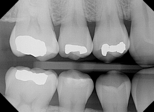
Oh, and by the way: When we restore teeth using treatments like fillings and crowns, we always use white (tooth-colored) materials. We are very good at hiding our work in plain sight, so you don't have to worry about leaving our office with a mouth full of old-school silver fillings.

Thank you! Your submission has been received!
Oops! Something went wrong while submitting the form :(